Custom Invisalign Fittings
North Salem, NY
Expert Invisalign Services
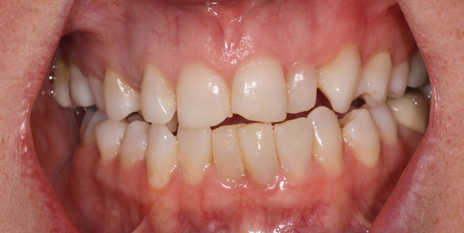
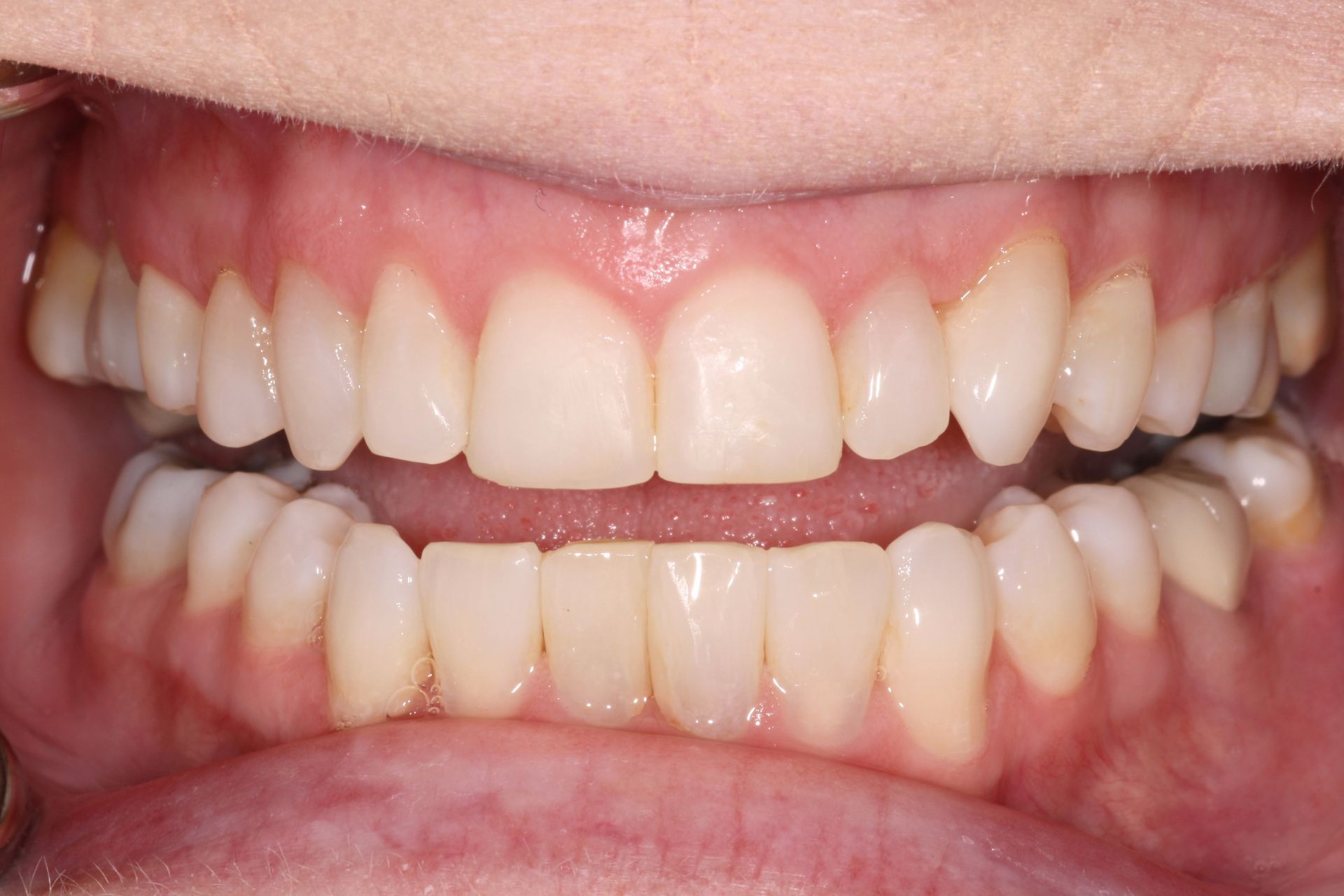
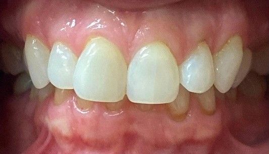
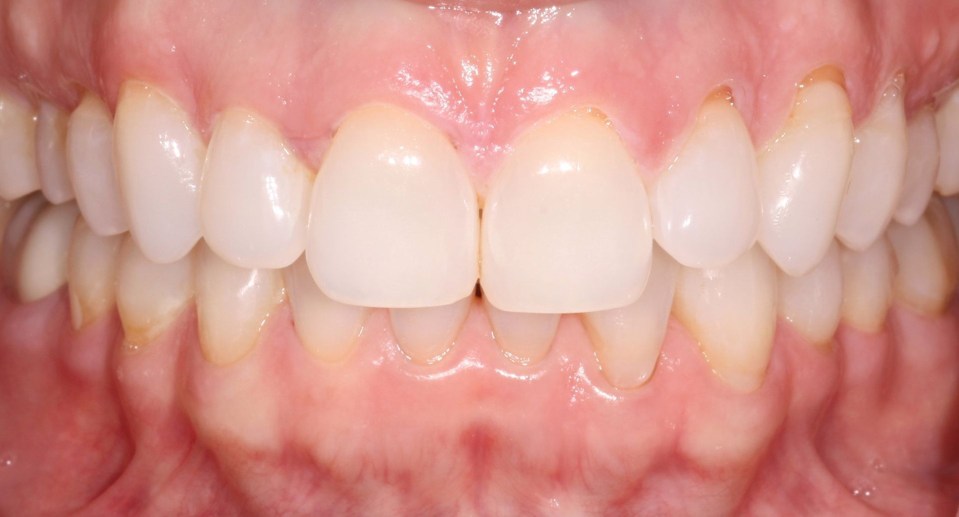
At North Salem Dental Care, we specialize in providing Invisalign services to help you achieve a straighter, healthier smile. Our team utilizes advanced 3D digital imaging to ensure your treatment is precise and effective. Serving Croton Falls, NY, our practice is dedicated to patient care and safety. For an effective, more subtle way to straighten your teeth than braces, choose Invisalign.
Interested in transforming your smile? Contact us to learn more about our Invisalign services.
Signs It's Time to Consider Invisalign
If you're unsure whether Invisalign is right for you, consider the following indicators that it's time to reach out to a professional:
- Crooked or misaligned teeth
- Difficulty cleaning between teeth
- Self-conscious about your smile
- Discomfort while chewing
- Overbite, underbite, or crossbite
Advantages of Choosing North Salem Dental Care
When you select us for your Invisalign treatment, you receive top-tier care and personalized attention:
- Same-day appointments available
- Strict safety and hygiene protocols
- Painless dental care
- Patient-focused staff
- Relationship-based practice
Contact Us
Ready to transform your smile with Invisalign? Our team at North Salem Dental Care is here to assist you. Reach out to us today to discuss your needs and schedule an appointment.







Share On: